Living to old age is something most people wish for.
But for many, the latter years come with a heavy cost: dementia, a disease that slowly robs people of their identity and independence.
Among the types of dementia, Alzheimer’s disease is the most common. A person has a 1 in 20 chance of developing Alzheimer’s within a 10-year range from the age of 65. At 75, that risk grows to 1 in 7, and by age 85, it reaches about 1 in 3.
Billions of dollars have been poured into research for Alzheimer’s disease
Image credits: Alzheimers Association
For decades, billions of dollars have been poured into research, searching for answers and cures for this disease. Headlines have often promised that a breakthrough is near. Scientists previously claimed they had found the cause of Alzheimer’s and were testing drugs that could stop or even reverse it.
- Alzheimer’s research has long centered on the amyloid hypothesis, despite many amyloid-targeting drugs failing in clinical trials.
- A landmark 2006 study linking amyloid plaques to memory loss was found to contain doctored images, undermining a key basis for Alzheimer’s drug development.
- FDA approval of Biogen’s Aduhelm ignored an independent panel’s unanimous negative vote, prioritizing industry profits over solid evidence.
- Pharmaceutical companies heavily influence the FDA via funding and revolving-door employment, compromising drug approval integrity.
- 90% of new FDA-approved drugs provide no significant benefit over existing treatments, revealing deep flaws in drug research and approval.
But behind these promises, a troubling story has emerged: A scandal involving leading figures in Alzheimer’s research has shaken the scientific community.
For decades, Alzheimer’s research has been dominated by the “amyloid hypothesis.”
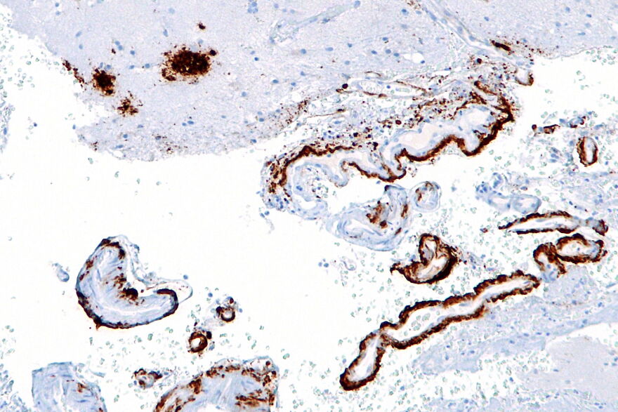
This theory began when scientists found clumps of a sticky protein, called amyloid plaques, in the brains of people who had died with Alzheimer’s. It seemed logical that these plaques caused the memory loss and brain damage seen in the disease.
A 2006 study by the University of Minnesota seemed to be the answer for a while. The research paper was titled ‘A specific amyloid-β protein assembly in the brain impairs memory,’ authored by Sylvain Lesné, a neuroscientist and associate professor at the University of Minnesota. Lesné was the lead author of the paper, which included seven other co-authors.
Image credits: Nature Magazine
This study became one of the most cited in Alzheimer’s research and was seen as strong evidence that a subtype of amyloid caused memory problems.
It is this theory that shaped the direction of Alzheimer’s research and drug development for years. Governments, charities, and pharmaceutical companies invested billions of dollars to develop treatments targeting amyloid plaques. Yet, the treatments have mostly failed.
One puzzling fact was that many people with amyloid plaques never showed any symptoms of Alzheimer’s. It was clear that the amyloid hypothesis didn’t explain the whole story. Something was missing.
In 2022, Charles Piller, an investigative journalist for Science magazine, discovered that important images in that paper appeared to have been digitally altered, or Photoshopped, to better fit the hypothesis.
The images had been doctored to inflate the protein’s role in the progression of Alzheimer’s. Other researchers also expressed concern that Lesné’s results couldn’t be replicated.
Alzheimer’s medication has been built on Sylvain Lesné’s 2006 research, now revealed to be flawed
Image credits: X
This revelation sent shockwaves throughout the field. While the authors initially defended their work, they eventually withdrew the 2006 paper. Other papers based on the same data were also withdrawn.
Investigations are still ongoing, and some of those involved deny any wrongdoing.
Science said it found more than 20 “suspect” papers by Lesné and more than 70 instances of possible image tampering in his studies.
Despite the evidence, in June 2021, the FDA approved a new drug for Alzheimer’s called Aduhelm, developed by pharmaceutical giant Biogen. The drug was meant to treat early-stage Alzheimer’s by targeting amyloid beta, building on Lesné’s research. But there was no convincing evidence that the drug actually worked.
The FDA’s independent advisory panel, made up of 11 outside experts, had reviewed Biogen’s data and unanimously voted against approval. The results from clinical trials were inconclusive at best.
Yet, the FDA overrode its advisors and gave Aduhelm the green light. Three panelists resigned in protest, and one of them, Dr. Aaron Kesselheim, called it “probably the worst drug approval decision in recent U.S. history.”
This was more than just a bad call. It was the clearest signal yet that something was fundamentally broken in the way drug science operates in the United States.
The Aduhelm approval emerged from a system where regulatory decisions are increasingly shaped by industry money. The scandal surrounding Aduhelm exposed a much deeper rot that has plagued Alzheimer’s research for decades.
Image credits: Alzheimers Association
For over 15 years, nearly all major drug development efforts in the field focused on the amyloid hypothesis. All the while, scientists who questioned the amyloid theory struggled to secure funding. Entire research careers were sidelined in favor of the amyloid bandwagon.
Meanwhile, major pharmaceutical companies kept chasing one amyloid-targeting drug after another, despite repeated failures in clinical trials—because they believed the profits would be astronomical if the theory ever panned out.
Aduhelm was the culmination of that flawed pursuit.
Biogen had initially halted the drug’s trials in 2019 after disappointing results, but later reanalyzed the data and claimed there was some benefit after all. Independent experts weren’t convinced. But Biogen had momentum and political influence on its side.
The FDA’s approval appeared to reward years of investment, not years of science. For Biogen, the decision promised billions in revenue. For patients, it meant a $56,000-per-year treatment with uncertain benefits and potentially serious side effects.
Expensive Alzheimer’s drugs were approved despite inconclusive evidence
Image credits: Mordor Intelligence
The problem here isn’t just that a flawed drug was approved. The real scandal is how the entire ecosystem—scientific research, regulatory review, and pharmaceutical development—has been reshaped by profit motives.
The FDA, once seen as the gold standard in drug safety, now draws much of its funding from the very companies it regulates.
While the FDA’s funding is made up of federal government budget allocation, a huge chunk of its finances is fees paid by industries regulated by the FDA, including pharmaceutical companies.
User fees paid by pharmaceutical firms to speed up drug reviews account for nearly half the agency’s budget.
Image credits: Suzanne Kreiter/Getty Images
That financial dependence creates dangerous incentives. Approval decisions are no longer solely based on public health outcomes; they’re also shaped by the pressure to keep the industry happy.
Many former FDA employees go on to work for pharmaceutical companies. Some even help get drugs approved while working at the FDA, and then take jobs with the same companies afterward. Despite anti-revolving door rules on the books, this blurs the lines between both.
Alzheimer’s isn’t the only area where this broken model has caused harm.
Consider the history of antidepressants like Prozac or Zoloft, both approved despite shaky evidence, and study after study showing that their effect is no better than placebos. Still, they are prescribed to millions, generating billions in revenue (20g of Prozac can cost almost $500 for just 30 capsules).
Antidepressants are prescribed in spite of studies showing a placebo-level effect
Image credits: Stephen Chernin/Getty Images
The book Bad Pharma: How Drug Companies Mislead Doctors and Harm Patients, by Ben Goldacre, details how most research demonstrating antidepressants to be ineffective is simply never published. Between 1987 and 2004, 74 papers were published. Of those, 38 showed the drugs were effective, and 36 argued they were not. All but one of the 38 positive studies were published in a scientific journal. Only three of the negative ones made it to print.
A 2010 analysis cited in Bad Pharma found that 85% of industry-funded drug trials reported positive results, compared to just 50% of those funded by the government.
Another 2013 analysis shows a whopping 90% of new drugs approved by the FDA in the previous 30 years are little or no more effective than existing drugs.
This all points to a single, uncomfortable truth: the science behind many of our most common medications may not be as solid as we think.
Some 90% of new drugs approved by the FDA are not more effective than existing drugs
Image credits: Getty Images
That doesn’t mean every drug is fake or every scientist is corrupt. But it does mean the current system rewards the wrong priorities.
Over the past several decades, U.S. government funding for drug research has stagnated, while pharmaceutical companies have dramatically increased their investment. This has resulted in the driving force behind much of today’s scientific research no longer being public health, but profit.
This trend isn’t confined to one political party: Big Pharma has remained the most powerful lobbying force in the U.S., outspending even Big Oil and Big Tech year after year.
The FDA may be well-staffed with scientists committed to protecting public health, but good intentions are not enough.
As long as the agency depends financially and structurally on the very industry it regulates, the system will remain compromised.
Image credits: Wikimedia Commons










16
0